症例 Case

東京審美歯科 > 症例 > ジルコニアセラミッククラウンによる審美治療
症例

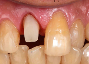
ジルコニアセラミッククラウンによる審美治療

治療前

治療後

治療概要

治療名

ジルコニアセラミッククラウンによる審美治療

患者さん

50代 男性

執刀医

Dr.高田

治療期間

1ヶ月(来院2回)

費用(税込)

¥200,000(税込)

治療に対するリスク

クラウンの治療を行う前に根の治療を行う可能性があります。
前歯1本の治療だけでは色が完全には合わない可能性があるため、最低でも前歯2本にクラウンを被せることでより高い審美性を実現できます。

Contact

東京審美歯科で審美セラミック治療
各種お問い合わせは下記よりお願いいたします。

ホームページの運営と情報発信について

東京都恵比寿駅の歯医者・歯科の東京審美歯科では、東京都恵比寿で審美歯科治療を提供する医院として各治療分野に精通した歯科医師が在籍しており、専門的かつ信頼性のある医療情報の発信を大切にしています。当院のホームページに掲載するすべてのコンテンツは、医師による監修のもとで作成されており、患者様が安心してご来院いただけるよう、正確で分かりやすい情報の提供に努めております。

また、当院は医療法に基づく「医療広告ガイドライン」を厳格に遵守しております。虚偽や誇大表現を排除し、実際の診療内容や実績に基づいた誠実な情報発信を行うことで、患者様との信頼関係の構築を目指しています。
私たちは、透明性と倫理性を重視したホームページ運営を通じて、皆様にとって有益で信頼できる医療情報をお届けしてまいります。