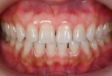
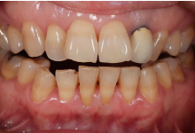
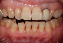
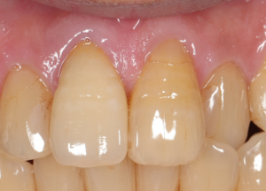
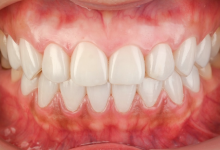
症例1
Before

After

ホワイトニングの様に色の変色はほとんどない。薄いため脱離・破折のリスクはあり。
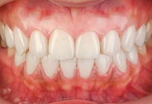
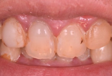
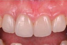
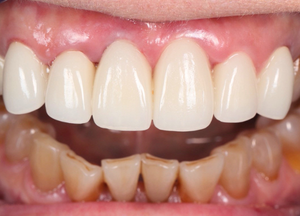
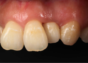
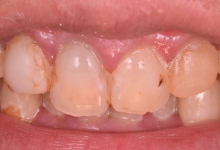
症例2
Before

After

ホワイトニングの様に色の変色はほとんどない。薄いため脱離・破折のリスクはあり。

患者様の 自信 と 笑顔
に貢献する
3つの審美歯科
ほぼ削らない審美歯科
歯を削らずに、自然な白さと美しさを手に入れられる「貼るホワイトニング」は、短期間で理想の笑顔を叶える審美治療です。透明感のあるセラミックを歯の表面に貼ることで、変色美しくカバー。まるで天然歯のような仕上がりで、人前に立つ機会が多い方にもおすすめです。痛みが少なく、歯へのダメージも最小限なので、安心してご相談いただけます。
歯を
削らない
低コストで
美しく
自信を持った
笑顔
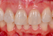
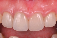
Before

After

Before

After

白く美しい歯で、笑顔に自信を
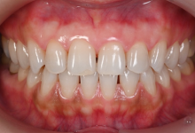
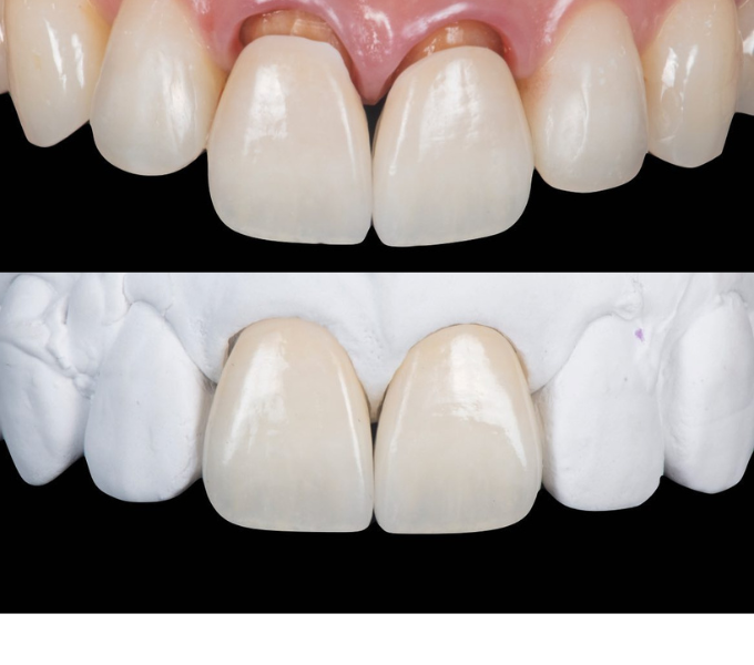
自然で美しい口元を手に入れたい方には、審美歯科セラミック治療がおすすめです。金属を使用せず、天然歯に近い透明感をもつセラミック素材を使用するため、どの角度から見ても自然な輝きのある歯に仕上がります。また、変色や金属アレルギーの心配がなく、長期的に美しさを保つことができます。精密な治療計画のもと、一人ひとりの歯の形や色に合わせてオーダーメイドで作製するため、理想の笑顔を叶えることができます。
自然な
白さ
変色
しにくい
金属
不使用
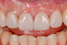
Before

After

Before

After

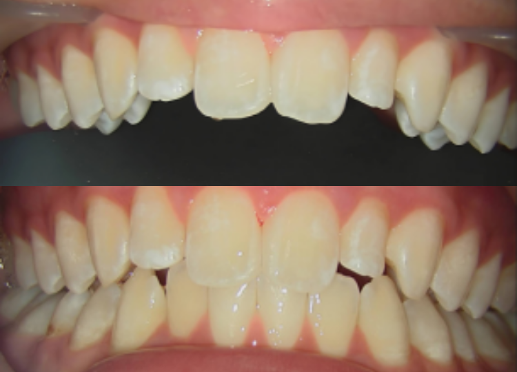
バレずに歯並びを治す
目立たずに歯並びを整えたい方には、マウスピース矯正がおすすめです。透明で薄い装置を使用するため、装着していても周囲に気づかれにくく、接客業や人前に出るお仕事の方でも安心して治療を受けられます。取り外しができるので、食事や歯磨きも普段通り。
見た目に配慮しながら、自然な笑顔と美しい歯並びを手に入れたい方にぴったりの矯正方法です。
矯正装置が
見えない
痛みが
少ない
取り外しが
可能
Before

After

Before

After

デジタル歯科で使用される口腔内スキャナーやCTは、肉眼では確認できない小さな虫歯の進行や歯のヒビ、歯ぐきの奥に隠れた病変などを、3D画像や高解像度のデジタルデータとして捉えることができます。これにより、見逃しのない診断と、より正確な治療計画の立案が可能になります。従来のレントゲンでは写らなかった部分も、立体的かつ高精度に把握できるのが大きな利点です。
デジタル機器を使えば、歯の形を正確にスキャンし、そのデータを元にコンピューター上で補綴物(被せ物や詰め物)を設計します。そしてCAD/CAMシステムによって、高性能なミリングマシンが材料を精密に削り出すため、手作業では難しいレベルの高いフィット感を実現。ズレや隙間が少ないことで、むし歯の再発リスクも下げられ、見た目も自然で快適な仕上がりになります。
矯正治療や審美治療では、治療後の歯並びや仕上がりの見た目を、シミュレーション画像や動画で事前に確認することができます。たとえば、「どんな歯並びになるのか」「前歯の形をどう変えるか」といったイメージを患者様と共有できるため、納得したうえで治療に進めます。これは、従来の「やってみないと分からない」治療への不安を大きく減らす画期的なメリットです。
人生を変える、美しい笑顔へを理念に東京都恵比寿駅の東京審美歯科では、
患者様一人ひとりの“理想の笑顔”を叶えるために、
見た目だけでなく心にも寄り添う歯科治療をご提供しています。
すきっ歯や歯の黄ばみ、ガタガタの歯並び…
鏡を見るたびに自信を失い、人前で笑えなくなっていませんか?
歯をほとんど削らず自然な白さを叶える「貼るホワイトニング」、
周囲に気づかれず整える「マウスピース矯正」、
自然で美しい白い歯を実現する「審美歯科セラミック治療」など、
患者様の心に寄り添った多彩な選択肢をご用意。
さらに、デジタル機器による精密な診断と“治療結果の見える化”で、
納得と安心の治療を実現します。
美しく輝く笑顔は、あなたの人生を前向きに変えていきます。
はじめまして。東京審美歯科 理事長の遠山 敏成です。
私たちは「人生を変える、美しい笑顔へ」という理念のもと、東京都渋谷区の地で、見た目の美しさだけでなく、患者様の心にも寄り添う歯科治療を大切にしています。
「すきっ歯が気になる」「歯の黄ばみで笑えない」「歯並びに自信が持てない」──
そんなお悩みを抱えた方が、再び自然に笑えるようになること。それが私たちの願いです。
歯をほとんど削らずに白い歯を実現できる『貼るホワイトニング』、周囲に気づかれず歯並びを整える『マウスピース矯正』、天然歯に近い透明感を叶える「審美歯科セラミック治療」など、多彩な選択肢をそろえ、丁寧にご提案させていただきます。
また、最先端のデジタル技術によって、精密な診断と治療結果の“見える化”を実現し、ご不安のない治療環境を整えております。
「こんな歯で笑えない」と思っていた方が、「また笑えるようになった」と言ってくださる瞬間が、私たちにとって何よりの喜びです。
あなたの笑顔が変われば、きっと人生も変わります。どうぞお気軽にご相談ください。
理事長 遠山 敏成
東京都恵比寿とともに歩む、信頼される歯科医院を目指して、東京審美歯科では、東京都恵比寿という地域に根ざし、患者様に安心と信頼の医療をお届けするための取り組みを大切にしています。
その一環として、私たちは第三者機関であるNPO法人日本歯科医療評価機構に依頼し、患者様満足度調査を定期的に実施しています。
このアンケートは、日々の診療に対する患者様の率直なお声をいただくことで、院内のサービスや治療体制をより良いものへと進化させていくための大切な指標です。
特に審美歯科においては、見た目の美しさだけでなく、患者様の「心から笑える笑顔」をつくることが重要です。皆様のご意見を真摯に受け止め、改善に反映してまいります。
アンケートは匿名で行われ、個人情報が医院に伝わることは一切ありません。どうぞご安心のうえ、ご協力をお願いいたします。
調査結果は、当院ウェブサイト内の「第三者機関による患者様アンケート結果」よりご確認いただけます。
「日本歯科医療評価機構」は、患者様が安心して信頼できる歯科医院を見つけられるよう支援するための非営利組織です。「どの歯医者を選べば良いのか分からない」「診療時間や立地条件だけでなく、信頼できる歯科医院に通いたい」という声に応え、厳正な評価を基に歯科医院を認定しています。この機構の存在により、患者様が安心して通える歯科医療の提供が可能になっています。
東京審美歯科(マイスター恵比寿歯科クリニック東京)では、患者様一人ひとりが安心して通院できる環境づくりに努め、信頼と満足をお届けしクチコミ・評判・おすすめされる歯科医療を目指しています。
患者様の笑顔+美しさ
を心の底から追求する
6つの特徴
審美歯科セラミック治療を検討されている多くの方が抱えるのは、「本当にきれいになるの?」「痛くない?」「何回通うの?」というような、見た目だけではない“リアルな不安や期待”です。東京審美歯科では、そんな患者様の声に耳を傾け、一人ひとりの理想に寄り添った治療をご提供しています。
自然で美しい
仕上がり
削らない
安心設計
厳選した
素材使用
少ない通院
で完結
限りなく
痛みを抑えた
治療
見える
治療計画
「白くてきれいな歯にしたいけれど、不自然な見た目にはなりたくない…」そんな方にこそ、セラミック治療はおすすめです。当院では、透明感・色味・形のバランスにこだわり、隣の歯と違和感のない“自然で調和のとれた美しさ”を実現します。人と話す時、写真を撮る時、自信を持って笑えるあなたへ。
「歯を削るのが怖い」「できる限り歯は残したい」当院では、歯を守ることを第一に考え、必要最小限の削合で済む低侵襲なセラミック治療を導入しています。さらに、“歯を削らずに貼るだけ”のラミネートベニアにも対応。健康な歯をなるべく残しながら、美しい口元へ導きます。
「高い治療なのにすぐダメになるのは嫌…」そんな声に応えるために、当院では厳選した高耐久・高品質のセラミック素材を使用しています。変色しにくく金属を一切使用しないため、金属アレルギーの心配もありません。長く、快適に、美しく。そんな安心をお届けします。
「何度も通うのは大変」「できれば早く終わらせたい」そんなご要望にもお応えするために、東京審美歯科では1日で完了するセラミック治療(即日修復)にも対応。口腔内スキャナーや院内技工の連携により、スピーディーかつ高精度な治療を実現します。遠方からお越しの方や、お忙しい方にも選ばれています。
「治療中の痛みが怖い」「緊張して体に力が入ってしまう」「嘔吐反射があって不安…」そんな患者様のために、当院ではできる限り痛みや刺激を抑える治療を大切にしています。麻酔の方法やタイミング、器具の使い方にまで細やかに配慮し、治療中の違和感や恐怖心を軽減。一つひとつ声かけを行いながら進めることで、安心して治療を受けていただける環境を整えています。
「やってみたら思っていた見た目と違ったらどうしよう…」東京審美歯科では、事前に治療後の見た目を3Dシミュレーションで“見える化”し、患者様と一緒に仕上がりのイメージを共有します。納得したうえで治療をスタートできるから、不安なく理想のゴールを目指せます。






東京審美歯科がある東京都恵比寿は、洗練された都市文化と住みやすさが融合するエリアです。上質なライフスタイルを求める方々に人気があり、その魅力は多岐にわたります。最大の特長は、都心でありながらも落ち着きと温かみのある街並みです。恵比寿ガーデンプレイスをはじめとした商業施設や、美術館、レストランが多く、グルメやアートに触れられる文化的な環境が整っています。
また、交通アクセスも非常に優れており、 JR山手線・東京メトロ日比谷線の「恵比寿駅」からは、渋谷・目黒・六本木といった主要エリアへ10分以内でアクセスが可能です。通勤・通学にも便利な立地です。
近年では高感度な 30~50代の女性を中心に、健康志向と美意識の高まりを背景に、美容医療や審美歯科治療への関心も集まっています。医療インフラも整っており、大学病院や地域密着型のクリニックが共存し、安心して暮らせる街でもあります。自然、文化、アクセス、美容と健康が調和するこの東京都恵比寿で、東京審美歯科はセラミック治療を中心とした審美歯科専門クリニックとして、患者様一人ひとりの笑顔をより健康的で美しく彩ってまいります。
東京都恵比寿駅の歯医者・歯科の東京審美歯科では、東京都恵比寿で審美歯科治療を提供する医院として各治療分野に精通した歯科医師が在籍しており、専門的かつ信頼性のある医療情報の発信を大切にしています。当院のホームページに掲載するすべてのコンテンツは、医師による監修のもとで作成されており、患者様が安心してご来院いただけるよう、正確で分かりやすい情報の提供に努めております。
また、当院は医療法に基づく「医療広告ガイドライン」を厳格に遵守しております。虚偽や誇大表現を排除し、実際の診療内容や実績に基づいた誠実な情報発信を行うことで、患者様との信頼関係の構築を目指しています。
私たちは、透明性と倫理性を重視したホームページ運営を通じて、皆様にとって有益で信頼できる医療情報をお届けしてまいります。