症例 Case
症例
貼るホワイトニング(ジルコニアべニア)

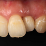
治療前

治療後
治療概要
治療名
貼るホワイトニング(ジルコニアべニア)
患者さん
30代 女性
執刀医
Dr.遠山
治療期間
1ヶ月
費用(税込)
¥1,760,000(税込)※16本
治療に対するリスク
歯をほぼ削らないため痛みや歯が小さくなるリスクはかなり少ない。
ホワイトニングの様に色の変色はほとんどない。薄いため脱離・破折のリスクはあり。
ホームページの運営と情報発信について
東京都恵比寿駅の歯医者・歯科の東京審美歯科では、東京都恵比寿で審美歯科治療を提供する医院として各治療分野に精通した歯科医師が在籍しており、専門的かつ信頼性のある医療情報の発信を大切にしています。当院のホームページに掲載するすべてのコンテンツは、医師による監修のもとで作成されており、患者様が安心してご来院いただけるよう、正確で分かりやすい情報の提供に努めております。
また、当院は医療法に基づく「医療広告ガイドライン」を厳格に遵守しております。虚偽や誇大表現を排除し、実際の診療内容や実績に基づいた誠実な情報発信を行うことで、患者様との信頼関係の構築を目指しています。
私たちは、透明性と倫理性を重視したホームページ運営を通じて、皆様にとって有益で信頼できる医療情報をお届けしてまいります。