前歯の審美歯科セラミック Ceramic
①第一印象を変える「前歯の力」

─ 笑顔が変わると、人生が変わる ─
「初対面の印象は3秒で決まる」と言われるように、私たちは無意識のうちに相手の表情や口元から多くの情報を受け取っています。中でも“笑顔”は、その人の雰囲気や自信を最も強く映し出す表現です。そしてその笑顔を支えているのが「前歯」です。
前歯は、会話中や笑ったときに最も目立つ場所にあり、その色・形・並び方によって相手に与える印象が大きく変わります。実際、歯の印象によって「清潔感がある」「仕事ができそう」「若々しい」「育ちが良さそう」など、外見だけでない評価にまでつながることも珍しくありません。
たとえば、少し黄ばんだ前歯が見えるだけで、本人が気にしていなくても「なんとなく老けて見える」「不健康そう」という印象を持たれてしまうことがあります。一方で、自然な白さと形の整った前歯は、その人の笑顔を一段と魅力的にし、信頼感や好感度を引き上げてくれるのです。
─ 口元の印象が与える心理的影響とは? ─
心理学の分野でも、口元の美しさが自分自身の“自信”や“社会的な評価”に強く関わっていることがわかっています。歯にコンプレックスがあると、無意識に口元を隠して話したり、笑顔が小さくなってしまったりするものです。これにより、積極性が薄れてしまったり、人前での発言や表情にぎこちなさが出るなど、対人関係にも影響を及ぼします。
逆に、前歯に自信を持てると「思いきり笑えるようになった」「写真を撮られるのが苦手じゃなくなった」というように、心の在り方そのものに変化が表れます。これは、見た目の変化だけでなく、日常のふるまいや態度にも波及していく“内面の変化”です。
また、就職活動や営業職、接客業など、「第一印象が成果に直結する」場面では、口元の印象は極めて重要な要素となります。実際に、ビジネスシーンや婚活の成功要因のひとつとして、口元の清潔感や歯の整い具合が評価されているという調査結果もあります。
─ セラミック治療で、前歯に“自信”という名の変化を ─
東京審美歯科では、そうした前歯のコンプレックスを抱える患者様に向けて、自然で美しい仕上がりが得られる審美セラミック治療をご提案しています。単に白くするだけでなく、「顔全体とのバランス」や「性別・年齢に合った歯の形」など、表情全体の調和を大切にしています。
歯を美しく整えることは、単なる美容目的ではありません。人生を前向きに変えるひとつのきっかけになります。私たちは、その一歩を一緒に踏み出すパートナーとして、見た目以上に「自信」という内側の変化までサポートしていきます。
②「前歯に自信が持てない」よくあるお悩み

「写真を撮るとき、つい口元を隠してしまう」「鏡を見るたび、前歯の色が気になる」「人と話していても、前歯を見られている気がする」──。
前歯に関するお悩みは、性別や年齢に関係なく、多くの方が抱えています。
なぜ前歯なのでしょうか?それは、前歯が“もっとも視線を集めるパーツ”だからです。日常の中で私たちが何気なく行っている「笑う」「話す」「食べる」といった動作において、前歯は常に露出しており、目立つ存在です。そのため、小さな違和感でも本人にとっては大きな悩みとなるのです。
前歯に多いお悩みTOP5
- ①すきっ歯(空隙歯列)
前歯と前歯の間に隙間があると、そこに視線が集まりやすくなります。中でも、上の前歯2本の間にすき間がある「正中離開(せいちゅうりかい)」は目立ちやすく、気にされる方が非常に多い症状です。
- ② 出っ歯(上顎前突)
歯列全体の問題ではなく、前歯数本が前に傾いているだけでも、口元が突出した印象を与えてしまうことがあります。マスク生活が長かった今、ふとマスクを外したときに「出っ歯っぽく見える」と悩まれる方も増えています。
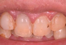
- ③ 前歯の変色・くすみ
タバコ、コーヒー、加齢、神経の失活などにより、前歯が黄ばむ・黒ずむといったお悩みもよく見られます。特に、神経を失った歯は内部から変色していくため、ホワイトニングでは改善しきれないケースもあります。
- ④ 形や大きさの左右差
左右の歯の形が微妙に違っていたり、1本だけ小さい、先が尖っている、角が欠けている……といった形状の問題も、患者様ご本人にとっては大きなコンプレックスになりえます。
- ⑤ 被せ物の違和感・色の不一致
以前に治療した差し歯や保険の前装冠が、「他の歯と色が合っていない」「歯ぐきの境目が黒ずんでいる」「レジンが黄ばんで浮いている」といったケースも多く、再治療を希望されるご相談が増えています。
“他人は気にしていない”は本当か?
「自分だけが気にしているだけかも…」と自分に言い聞かせている方もいらっしゃいます。しかし実際は、口元は人が最も注目する部位の一つ。第一印象の中で「歯がきれいかどうか」を無意識に判断している人は想像以上に多く、恋愛や仕事、面接の場などで口元の印象が結果を左右する場面も少なくありません。
しかも、前歯の悩みは「自分では見えていても、他人には指摘されにくい」部分でもあります。そのため、心の中にずっと引っかかったまま、長年そのままにしてしまっている方も多いのです。
当院が考える“前歯治療”の本質
東京審美歯科では、ただ単に白く美しく見せるのではなく、「患者様の悩みの根本を解決すること」にこだわっています。
それは、「自分に自信が持てない」「人前で笑えない」「マスクを外すのが不安」といった、患者様の“心の状態”に寄り添う治療だからです。
たとえば、すきっ歯や出っ歯といった歯並びの問題は、従来は矯正治療しか選択肢がないと思われていました。しかし現在では、セラミックによる“歯を動かさない”審美的改善も可能です。しかも治療期間は最短で1ヶ月前後。ライフスタイルや審美の優先順位に応じて、無理なく治療を進めることができます。
最初の一歩は「悩みを言葉にすること」
「気になるけれど、どう説明していいかわからない」「どこまで治せるのか知りたい」──そう思われたときが、治療の第一歩です。東京審美歯科では、無料カウンセリングにて、前歯に関するあらゆるお悩みに耳を傾けています。
あなたがこれまで“当たり前”だと感じていた前歯の悩みは、実は治療によって驚くほど改善できるかもしれません。
③前歯の美しさを引き出す“セラミック治療”とは?

前歯の印象は、その人の「笑顔の質」を大きく左右します。ほんの少しの色味の違いや、形のわずかな非対称でさえ、本人には大きなコンプレックスとして映ることがあります。
そこで注目されているのが、前歯の見た目を美しく整える“セラミック治療”です。
この治療法は、ただ白くするだけでなく、色・形・透明感・歯列のバランスまで、トータルで“その人らしい美しさ”を再現できるという点で、従来の歯科治療とは一線を画しています。
セラミック治療とは?基本をわかりやすく解説
セラミック治療とは、歯科用の陶材(セラミック)を使って歯を補修・修復する審美的な治療法です。
削った歯にセラミックの被せ物(クラウン)や、貼り付けるタイプの薄いチップ(ラミネートベニア)を装着することで、自然で美しい見た目を再現します。
前歯に特化した審美セラミック治療では、以下のようなお悩みに対応可能です。
- 歯の黄ばみや変色(神経がない歯も含む)
- 前歯の形や大きさの不揃い
- すきっ歯や歯の傾き
- 差し歯の色が周囲と合っていない
- 歯茎の黒ずみやメタルタトゥー(以前の金属修復によるもの)
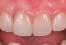
前歯だからこそ求められる「透明感」と「自然さ」
前歯の美しさに必要なのは、単に“白い”ことではありません。
むしろ、白すぎる・不自然な色味はかえって目立ってしまい、逆に違和感を生むこともあります。 セラミック治療では、患者様ごとの肌の色・顔の骨格・年齢・性別などに合わせて、透明感や明るさ、ツヤ感、グラデーションまで緻密に設計していきます。 とくに東京審美歯科では、「色合わせのプロフェッショナル(歯科技工士)」と連携し、オーダーメイドで一人ひとりに最適なセラミック歯を製作。まるで元からそこにあったかのような、自然で違和感のない前歯を実現します。
主なセラミック素材の種類と特長
| 素材 | 特徴 | 向いている方 |
|---|---|---|
| オール セラミック |
高い審美性、自然な透明感 | 前歯の色・形にこだわりたい方 |
| ジルコニア セラミック |
高い耐久性と強度+審美性 | 食いしばりが強い方、長期使用を希望する方 |
| ラミネート ベニア |
歯をあまり削らず、表面に薄く貼る | 軽微な歯の隙間や変色に悩む方 |
歯列矯正とどう違う?セラミック治療の「スピード」と「仕上がり」
「出っ歯やすきっ歯なら矯正しかないのでは?」と考える方も多いかもしれませんが、
セラミック治療なら“歯を動かさずに”短期間で見た目を整えることが可能です。
歯列矯正では平均1~2年かかるところを、セラミック治療であれば最短1ヶ月で完了。仕事が忙しい方や、結婚式や面接など期限がある方にも適しています。
しかも歯並びだけでなく、「色・形」まで一度に整えられるのはセラミック治療ならではのメリットです。
セラミック治療は“見た目”だけではない
意外に思われるかもしれませんが、セラミック治療には見た目以上の“機能的メリット”もあります。
- 表面がツルツルしているため、汚れや細菌がつきにくく、虫歯・歯周病の再発リスクが低下
- 精密に作られた補綴物は、歯茎や噛み合わせへの負担が少ない
- 長期間にわたって変色しにくく、劣化が少ないため、清潔で美しい状態を保ちやすい
美しさと健康、両方の価値を備えているのが、前歯セラミック治療の大きな魅力です。
④素材で変わる、仕上がりの美しさと持続性

前歯のセラミック治療において、「どの素材を選ぶか」は、見た目の自然さや、治療後の満足度を大きく左右する重要な要素です。
同じ“白い歯”を目指す治療であっても、使用する素材によって透明感・色味・耐久性・価格帯などが異なります。
ここでは、代表的なセラミック素材の違いや特徴について、専門的な視点からわかりやすくご紹介します。
見た目の自然さを決める「審美性」とは?
前歯の治療では、奥歯以上に「審美性=自然な美しさ」が求められます。
具体的には、以下のような点が仕上がりを左右します。
- 透明感(光をどれだけ透過するか)
- 色調(自分の歯との調和性)
- 表面のツヤや反射の自然さ
- 歯茎との境目のなじみ方
つまり、素材選びは単に“白ければいい”というものではなく、自分の歯と違和感なく調和させるための要となるのです。
主なセラミック素材とその違い
| 素材 | 審美性 | 強度 | 透明感 | 推奨部位 | 特徴・注意点 |
|---|---|---|---|---|---|
| オール セラミック |
◎ (非常に高い) |
△ (やや劣る) |
◎ (非常に高い) |
前歯向き | 天然歯に近い美しさ。割れやすい素材のため咬合力の強い方には注意 |
| ジルコニア セラミック |
◯~◎ (自然) |
◎ (非常に高い) |
◯ (やや劣る) |
前歯~ 奥歯まで |
耐久性と美しさのバランス。近年は透明感も進化し前歯にも使用可能 |
| イーマックス (e.max) |
◎ (非常に高い) |
◯ (中程度) |
◎ (非常に高い) |
前歯~ 小臼歯 |
ガラスセラミック。審美性とある程度の強度を両立 |
| メタルボンド | ◯ | ◎ | △ | 奥歯向き | 内部に金属を使用。強度は高いが歯茎の黒ずみや金属アレルギーの懸念あり |
| ハイブリッド セラミック |
△ (やや劣る) |
△ | △ | 仮歯や短期 使用向け |
セラミックとレジンの混合素材。経年劣化や変色が起きやすい |
透明感が重要な“前歯”におすすめの素材は?
前歯は光が直接当たり、見る人の視線を集めるパーツです。そのため「透明感」が美しさの鍵となります。
オールセラミックやイーマックスは、天然歯に近い質感と光の透過性を持っており、最も自然な仕上がりを実現できます。
一方、ジルコニアは元々やや白濁した見た目でしたが、近年では“高透過ジルコニア”という技術進化により、前歯にも使用できる審美性を備えるようになっています。 東京審美歯科では、患者様のご希望と歯の状態、咬み合わせの力などを総合的に判断し、最適な素材をプロフェッショナルの視点でご提案しています。
素材ごとに異なる「経年変化」と「耐久性」
セラミックは基本的に変色しにくい・劣化しにくいという特性がありますが、素材によって寿命や耐久性に差があります。
- ジルコニア・メタルボンド:10~15年以上の耐久性あり(条件による)
- イーマックス・オールセラミック:5~10年程度が目安
- ハイブリッドセラミック:3~5年程度、変色・すり減りに注意
特に前歯は使用頻度が高いため、耐久性だけでなく、見た目の変化にも強い素材を選ぶことがポイントです。
“価格だけ”で選ぶと後悔する理由
セラミック治療は保険適用外の自由診療であり、価格に幅があります。しかし、価格の安さだけで判断してしまうと、以下のようなリスクがあります。
- 時間と費用をかけたのに見た目が不自然
- 数年で変色・破損し再治療が必要に
- 歯茎との相性が悪く、炎症や黒ずみが出る
東京審美歯科では、審美性・耐久性・予算のバランスを一緒に考え、最適な素材選択をご案内しています。 費用だけでなく、「5年後・10年後も美しさを保てるか?」という視点で、長期的にご満足いただける治療を大切にしています。
技工士との連携で素材の“美しさ”を最大限に
素材そのものの性能に加え、それを形にする技工士の技術力も極めて重要です。
当院では、審美歯科専門の歯科技工士と密に連携し、1本1本の歯に合わせたオーダーメイド設計を行います。
微妙な色調の違い、隣の歯とのなじみ方、歯茎との境目の自然さまで、“素材のポテンシャルを最大限に活かす治療”が私たちの強みです。
⑤矯正よりも早く結果が出る“審美的セラミック矯正”

「歯並びが気になるけど、ワイヤー矯正は目立つし、時間もかかる…」
「結婚式や就職活動までに、前歯だけでも整えたい」
そういったお悩みをお持ちの方に、今、注目されているのが“審美的セラミック矯正”です。
これは、歯を動かす従来の矯正とは異なり、セラミックによる被せ物で前歯の見た目を短期間で整える治療法。
自然で美しい口元を“最短1ヶ月”で叶えることができるため、「時間をかけずに理想の見た目を手に入れたい」という方に非常に人気があります。
セラミック矯正とは? 矯正とどう違うの?
一般的な歯列矯正は、ブラケットやマウスピースで歯そのものを動かして歯並びを整える治療です。
一方、セラミック矯正は、歯の表面を適切な量だけ削った上で、理想の位置・形に整えたセラミック製の被せ物を装着することで、見た目を一新する方法で
| 項目 | ワイヤー矯正/マウスピース矯正 | セラミック矯正 |
|---|---|---|
| 治療期間 | 1年~3年 | 約1~2ヶ月 |
| 審美性の改善 | 歯並び中心 | 歯の色・形・大きさも改善可 |
| 使用感 | 違和感あり・着脱の手間あり | 治療完了後は何も装着不要 |
| 見た目の変化 | 徐々に変化 | 完了後すぐに実感できる |
| 対応範囲 | 全顎矯正 | 主に前歯(審美領域) |
「矯正=時間がかかる」「ワイヤーが目立って恥ずかしい」といったイメージをお持ちの方には、セラミック矯正が現実的な選択肢となることが多いです。
対応できるお悩みの例
セラミック矯正は、以下のような前歯の「見た目」に関する悩みに非常に効果的です。
- 前歯が少し出ている(軽度の出っ歯)
- すきっ歯が気になる
- 前歯の傾きやねじれ
- 1本だけ歯の大きさや形が違う
- 全体のバランスを整えたい
- 神経のない歯の変色や形の不揃い
特に、「矯正までは必要ないけど、今の前歯に満足していない」という方に選ばれています。
セラミック矯正のメリット
◎ とにかく早い!最短1ヶ月で完了
多くの方が驚かれるのが、治療のスピードです。
仮歯の段階から見た目が大きく変わるため、初診から約1ヶ月前後で“理想の前歯”に仕上がるケースも少なくありません。
◎ 色・形・大きさも同時に整う
セラミック矯正は、歯並びだけでなく、色や形も自由にデザイン可能。
「白く」「整った」「左右対称の」前歯が手に入るため、審美面での満足度が非常に高い治療です。
◎ 治療中のストレスが少ない
矯正装置のような見た目のストレス、取り外しの手間、発音のしづらさなどがないため、日常生活に支障をきたしにくいという点も好評です。
注意点・デメリットも正しく理解を
一方で、セラミック矯正は以下のような特性があるため、すべての方に万能ではありません。
- 歯を削る必要がある(削る量は状態によって調整)
- 神経を取る処置が必要になる場合がある
- 噛み合わせの調整には注意が必要
- 成長期のお子様や全体の噛み合わせ治療には不向き
そのため東京審美歯科では、「見た目を優先すべき症例か、歯の機能を優先すべき症例か」を丁寧に判断したうえで、適応可否を正直にお伝えしています。
美しく、自然に。あなたの理想に寄り添うデザイン
東京審美歯科のセラミック矯正は、ただ歯を「整える」だけでなく、患者様の顔立ち・口元の動き・笑顔のバランスに合った“デザイン治療”を行っています。
- ゴールデンプロポーションを意識した前歯のサイズ感
- 上下の歯と唇のラインが調和するスマイルライン
- 年齢や性別に合った自然な白さ
こうした細やかな設計を、審美歯科専門の歯科医師と歯科技工士の連携により、1本ずつ丁寧に仕上げていきます。
⑥治療ステップを丁寧に:あなたの理想を形にするプロセス

セラミック治療は、「ただ歯を白くする」「並べ直す」といった単純な施術ではありません。
患者様の悩みや理想に応じて、一つひとつの工程を丁寧に進めることで、初めて“自然で美しい前歯”が完成します。
治療の成功は、計画・設計・技術のすべてが噛み合う“プロセス設計”にあります。
ここでは、東京審美歯科での前歯セラミック治療の流れを、初診からメンテナンスまでわかりやすく解説いたします。
Step 1:無料カウンセリング(初診)
まずは、患者様のお悩みやご希望をじっくりヒアリングします。
「どんな前歯にしたいか」が明確でなくても大丈夫です。
- どんなときに歯が気になるか
- 今の歯のどこに不満があるか
- 笑顔でどう見られたいか
これらを丁寧に言語化していくことで、理想のゴールイメージを共有します。
もちろん費用や素材、治療期間などについても、この時点でわかりやすくご説明します。
Step 2:精密検査・写真・歯型採取
審美治療には「設計の精度」が欠かせません。
そこで、以下のような検査を行います。
- 顔貌写真(正面・斜め・笑顔時)
- レントゲン・口腔内スキャン
- 噛み合わせ・歯並びのチェック
- 必要に応じて虫歯や歯周病の診査
これらの情報をもとに、前歯がどのように見えるべきか、どの素材・方法が最適かを判断していきます。
Step 3:仮歯(プロビジョナル)の製作・試着
いきなりセラミック本体を装着するのではなく、まずは仮歯を装着して“見た目のリハーサル”を行います。
この段階で以下を確認できます。
- 見た目(白さ・形・長さ・傾き)
- 会話や食事での違和感
- 笑顔のバランスや印象
仮歯は、最終的なセラミックと限りなく近いクオリティで製作されるため、治療後のイメージが具体的にわかることが最大のメリットです。必要に応じてこの仮歯を何度か調整し、納得できる状態を一緒につくっていきます。
Step 4:歯の形成・必要な処置(神経・土台)
仮歯での調整が済んだら、本格的な処置に入ります。歯の状態によっては、以下の処置が必要となる場合があります。
- 歯の切削:被せ物を装着するために必要最低限削ります
- 神経の処置(抜髄):強い傾きや変色がある場合
- ファイバーコア(土台):セラミックの耐久性を支えるためのグラスファイバー製の芯棒
東京審美歯科では、歯をできるだけ残す“低侵襲”な形成を心がけています。
Step 5:最終的な型取り・色合わせ
仮歯で仕上がりに納得いただけたら、いよいよ本番の型取りへ。
使用する印象材やスキャナーは、細部まで精密に採取できる最新のものを導入しています。
また、色の選定では歯科技工士と連携し、光の透け具合やグラデーション、唇とのバランスまで細かく調整。
必要があれば技工士が立ち会い、直接顔色や表情を見ながら設計するケースもあります。
Step 6:セラミック装着・最終調整
完成したセラミックを仮歯と交換して装着します。
ここでも見た目・噛み合わせ・話しやすさなどを最終確認し、必要があればその場で微調整を行います。
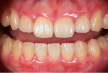
装着後は、一切違和感なく、自然な笑顔が再現されることが私たちのゴールです。
Step 7:アフターケア・メンテナンス
セラミックは非常に長持ちする素材ですが、メンテナンスが美しさを長く保つ鍵です。
- 3~6ヶ月に1回の定期検診
- 歯茎や噛み合わせのチェック
- セラミック部分のクリーニング
- ナイトガード(歯ぎしり対策)の提案
特に“歯茎との境目”は見た目にも大きな影響を与えるため、予防を徹底してサポートいたします。
⑦セラミックのメリット・デメリットを正直に

セラミック治療は、前歯の美しさを手に入れるための選択肢として多くの方から注目を集めています。
一方で、「どの素材がベストなの?」「本当に長持ちする?」「後悔しない?」といった不安の声も少なくありません。
東京審美歯科では、患者様に納得と安心のうえで治療を選んでいただくことを大切にしています。
だからこそ、セラミック治療における「良い点」だけでなく、「注意すべき点」も包み隠さずお伝えします。
セラミックのメリット
◎ 見た目が自然で美しい
セラミック最大の魅力は、天然歯のような透明感と色の再現性です。
ただ白いのではなく、光を柔らかく透過する質感があり、「人工歯には見えない」と言われるほどナチュラルな仕上がりが実現できます。
特に東京審美歯科では、患者様ごとの顔立ち・肌色・笑顔のバランスに合わせてオーダーメイド設計を行っており、他の歯と見分けがつかないほど自然な印象に仕上がります。
◎ 変色しない、劣化しにくい
保険治療で使われるプラスチック系の素材(レジン)は、年数が経つと黄ばみや劣化が目立ちやすくなります。
一方、セラミックは水分を吸収せず、タバコ・コーヒー・加齢の影響による変色がほとんどありません。美しさを長く保ちたい方にとって、非常に大きな利点です。
◎ 金属アレルギーの心配がない
東京審美歯科で使用しているセラミック素材はすべてメタルフリー。
金属を使用しないため、金属アレルギーのリスクをゼロに抑えることができます。
また、金属が原因で生じる「歯ぐきの黒ずみ(メタルタトゥー)」も起こらないため、見た目だけでなく歯ぐきの健康と清潔感も維持しやすくなります。
◎ 汚れがつきにくく、虫歯予防にも
セラミックは陶器に近い素材で、表面が非常にツルツルしています。そのため、
- プラーク(歯垢)が付きにくい
- 細菌が繁殖しにくい
- 変色・においの原因となる汚れもつきにくい
といった特徴があり、虫歯や歯周病の再発リスクも抑えられます。
セラミックのデメリット
完璧に見えるセラミック治療にも、向き・不向きやリスクは存在します。
治療前にしっかりと把握し、納得したうえで選択することが大切です。
▲ 自費診療のため、費用がかかる
セラミック治療は保険適用外の自由診療であり、1本あたり10万円~20万円程度が目安です。
高額な選択肢ではありますが、長期的な耐久性・審美性・再治療の少なさを考慮すると、“先行投資”として選ばれる方も増えています。
▲ 歯を削る必要がある
セラミックを被せるためには、健康な歯の一部を削る必要があります。
削る量は最小限にとどめますが、「健康な歯はできるだけ残したい」という方には、ラミネートベニアやダイレクトボンディングなど別の選択肢をご提案することもあります。
▲ 強い衝撃には注意が必要
セラミックは硬い反面、瞬間的な強い衝撃に弱いという特性があります。
極端に硬いものを噛んだり、強く歯ぎしりする癖がある方には注意が必要です。東京審美歯科では、そうしたリスクがある方に専用のマウスピース(ナイトガード)をご提案しています。
▲ 素材の選び方によって差が出る
「セラミック」と一口に言っても、オールセラミック・ジルコニア・イーマックスなど、さまざまな種類があります。
見た目重視なのか、強度重視なのか、費用とのバランスをとるのか――。素材選びを間違えると、後悔するケースもあるのが事実です。
だからこそ東京審美歯科では、丁寧なカウンセリング+歯科技工士との連携で、患者様一人ひとりに合った最適な素材をご提案しています。
⑧ “どこで受けるか”が成功のカギ

──セラミック治療を「後悔しない」ための医院選び──
前歯のセラミック治療は、見た目だけでなく、自信や人生そのものに影響を与える“顔の中心”の治療です。
だからこそ、「どの歯科医院で受けるか?」は、治療の満足度を大きく左右する最も重要なポイントです。
インターネットやSNSには「セラミック治療が安い」「1日でできる」といった情報が溢れていますが、値段やスピードだけでは見えない“医院の違い”が存在します。
セラミック治療は“技術と設計”の結晶
美しい前歯をつくるには、単にセラミックを被せれば良いというものではありません。
そこには、以下のような多くの工程と技術が必要です。
- 顔貌との調和を考慮したデザイン設計
- 歯を最小限に削る形成技術
- 歯科技工士との精密な連携
- 歯茎や噛み合わせの長期安定を見据えた調整
- 万が一のときにも対応できるアフターケア体制
つまり、単なる「治療」ではなく、1本ずつの“医療+美のプロジェクト”なのです。
よくあるトラブル例と「医院の差」
残念ながら、セラミック治療で後悔してしまうケースも実際に存在します。
▲「色が不自然で浮いて見える」
→ 色合わせを歯科医師だけで済ませた。技工士との連携が不十分だった。
▲「歯茎との境目が黒ずんできた」
→ メタルを使用した補綴物を選択していた。
▲「違和感があり噛みづらい」
→ 噛み合わせの調整が不十分。事前の設計・仮歯チェックを省略していた。
▲「割れたけれど保証がなく再治療に費用がかかった」
→ 明確な保証制度がなかった。
こうした事例からも、医院の設備・体制・担当者のスキルが結果に直結していることがわかります。
成功する医院選び5つの基準
患者様が「この歯科医院なら任せたい」と思える判断軸を以下にまとめました。
① 審美歯科の経験・症例実績が豊富か?
単にセラミックを扱っているだけではなく、「審美治療」として専門的な実績があるかをチェックしましょう。
症例写真の公開や、医師の専門分野・学会活動なども信頼材料となります。
② 歯科技工士との連携体制が整っているか?
セラミックの仕上がりは、設計者である技工士の力量に大きく依存します。
優れた歯科医院では、院内技工や専属技工士との連携を重視しており、「技工士立ち会い」の色合わせ対応が可能な場合もあります。
③ 仮歯の設計・調整に時間をかけているか?
“仮歯=一時的なもの”と思われがちですが、実は見た目や噛み合わせを事前に確認できる非常に重要なステップです。
仮歯の調整を重視している医院は、仕上がりの精度にもこだわっています。
④ 治療計画や費用説明が明確か?
誤解やトラブルを防ぐためにも、事前に治療内容・費用・リスク・保証について丁寧に説明があるかはとても大切です。
「よくわからないまま契約してしまった」という事態は避けましょう。
⑤ アフターケアや保証体制が整っているか?
治療後のメンテナンスや、万が一の破損・不具合に対応できる保証制度の有無や内容も医院選びの重要なポイントです。
⑨あなたの理想の笑顔に、最短で辿り着くために

── セラミック治療が“笑顔”を変える理由 ──
「前歯を整えることで、こんなにも自分の表情が変わるとは思わなかった」
「人前で自然に笑えるようになった自分に、驚いています」
私たち東京審美歯科が日々患者様からいただく、もっとも嬉しい言葉です。
セラミック治療は、単に歯を白くしたり形を整えるだけのものではありません。
それは、“本来のあなたらしさ”を引き出し、心の内側から自信をもたらす医療です。
“最短で理想の笑顔に近づく”セラミック治療の価値
審美セラミック治療の最大の特長は、短期間で目に見える結果が得られることです。
たとえば…
- 前歯の形・大きさの左右差 → 最短1ヶ月で自然なバランスに
- 神経のない黒ずんだ前歯 → 白く透明感のある色味に
- すきっ歯・出っ歯 → 矯正せずに、見た目を整えることが可能
しかも治療は、「仮歯の段階」でかなり完成度の高い仕上がりを確認できます。
就職活動・結婚式・写真撮影・プレゼンなど、イベント直前の駆け込み需要にも十分対応できるスピード感が魅力です。
こんな方にこそ、セラミック治療はおすすめです
- マスクを外す機会が増え、口元が気になってきた
- 矯正はハードルが高くて諦めていた
- 写真やビデオで、前歯が気になる
- 歯を見せて思いっきり笑いたい
- 今の前歯の差し歯に違和感がある
- 自分の印象をもっとポジティブに変えたい
この中に一つでも当てはまるなら、セラミック治療は「今より自信を持てる笑顔」を実現するための有力な選択肢です。
理想の笑顔を叶えるために、東京審美歯科ができること
東京審美歯科では「歯をただキレイに並べる」のではなく、以下の要素を大切にしています。
1. “あなたらしさ”を尊重したデザイン設計
誰もが同じ歯並び・色が理想とは限りません。
当院では、顔全体・性別・年齢・ライフスタイルに合わせた、「自分らしい美しさ」を重視しています。
2. 安心と信頼の治療プロセス
初診カウンセリング、仮歯でのチェック、色合わせ、装着、メンテナンスまで、一つ一つのステップを丁寧にご案内します。
「本当にこれで良いのか」と迷われたときも、遠慮なくご相談ください。
3. 審美歯科専門チームによる連携治療
経験豊富な歯科医師と、審美補綴に特化した歯科技工士が、1本1本の前歯を“作品”のように仕上げます。
治療後に得られるものは、“歯”以上の価値
実際に治療を受けた患者様からよく聞かれるのは、「人生が変わった」という言葉です。
それは決して大げさではありません。
- 思い切り笑えるようになった
- 写真が好きになった
- 外見の変化が、内面の自信に変わった
- 自分に少し誇りを持てるようになった
こうした変化は、セラミック治療によって“歯の形”が変わっただけでは起きません。
患者様の気持ちに寄り添い、理想の笑顔を一緒に目指すプロセスがあったからこそ、表情にも心にも変化が現れるのです。
あなたの笑顔が変わる、その第一歩は「相談」から
セラミック治療に興味があるけれど、
- 費用や期間が不安
- 痛みが気になる
- 自分に合う治療かわからない
…という方も、まずはお気軽に東京審美歯科へご相談ください。
無料カウンセリングでは、強引なご提案は一切ありません。
あなたのお悩みに真摯に耳を傾け、最適な選択肢を一緒に考える場と考えていただければと思います。
理想の笑顔への最短ルートは、専門性と信頼のある歯科医院と出会うこと。
そして、あなた自身が「変わりたい」と思った“その瞬間”から始まります。
東京審美歯科は、その一歩を後押しする“口元のパートナー”でありたいと願っています。
ホームページの運営と情報発信について
東京都恵比寿駅の歯医者・歯科の東京審美歯科では、東京都恵比寿で審美歯科治療を提供する医院として各治療分野に精通した歯科医師が在籍しており、専門的かつ信頼性のある医療情報の発信を大切にしています。当院のホームページに掲載するすべてのコンテンツは、医師による監修のもとで作成されており、患者様が安心してご来院いただけるよう、正確で分かりやすい情報の提供に努めております。
また、当院は医療法に基づく「医療広告ガイドライン」を厳格に遵守しております。虚偽や誇大表現を排除し、実際の診療内容や実績に基づいた誠実な情報発信を行うことで、患者様との信頼関係の構築を目指しています。
私たちは、透明性と倫理性を重視したホームページ運営を通じて、皆様にとって有益で信頼できる医療情報をお届けしてまいります。