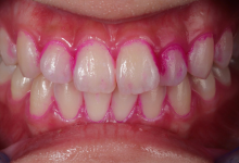
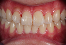
染め出し+パウダークリーニング(エアフロー)
Before

After

歯の表面や歯と歯の隙間には、日々の生活の中で細菌の膜(バイオフィルム)が付着しています。
専用の微粒子パウダーを用いたエアフロー(パウダークリーニング)を行いました。
エアフローは、水とパウダーをジェット状に噴射し、歯の表面や歯間部に付着したバイオフィルムや着色をやさしく除去する方法です。
歯質やセラミックを傷つけにくく、ホワイトニングや審美歯科治療後のメインテナンスとしても適しています。
(自由診療)
・歯ぐきに炎症がある場合、処置中や処置後に軽い出血がみられることがあります。
・コーヒー・喫煙などによる軽度の着色は除去可能ですが、歯の内部変色(神経の変色など)はクリーニングでは改善できません。
①「痛くなる前に行く」──それが新しい歯科の通い方

── 歯を削らない・抜かない時代へ、いま予防という選択を
「歯医者は痛くなってから行くところ」
そんな風に思っていませんか?
たしかに、以前の歯科治療は「問題が起きた箇所を治す場所」という考え方が主流でした。
しかし今、多くの人が気づき始めています。“痛くなる前に行く”ことで、自分の歯を守れる未来があるということを。
東京審美歯科では、これからの歯科のあり方を「治す場」ではなく、「守る場」へと進化させたいと考えています。
痛みが出たときには、すでに“手遅れ”かもしれません
虫歯も歯周病も、初期段階ではほとんど自覚症状がありません。
歯がしみる・腫れる・グラつくといった症状が出たときには、すでに病気はかなり進行しており、
- 歯を削る
- 神経を取る
- 最悪の場合は抜歯
という処置が必要になることも。
▶ 「何も感じていなかったのに、ここまで悪くなっているとは…」
これは、多くの患者様が治療初日に口にされる言葉です。
では、なぜ“痛くなる前”に歯科に行くべきなのか?
1.病気を早期に発見し、軽度で治せるから
小さな虫歯であれば、削らず経過観察できるケースも。
歯周病も、歯茎の腫れを抑えるだけで骨の吸収を防げます。
2.治療回数や費用を抑えられるから
痛みが出てからの治療は、根管治療・補綴・再発のリスクまで含めて負担が大きくなります。
3.自分の歯を一生使い続ける確率が高まるから
定期的なケアによって、80歳でも20本以上の歯を残すことは可能です。
▶ 結果として、“痛くならないこと”が、最大の医療といえるのです。
「削らない」「抜かない」ための、予防メインテナンスの役割
当院の予防プログラムでは、歯科医師と歯科衛生士が連携し、
- 歯石除去・バイオフィルムの管理
- 歯茎や咬合のチェック
- むし歯の初期段階での発見
- ご自宅でのケアの改善アドバイス
といったメニューを定期的に行います。
▶ これにより、ご自身では気づけない“わずかな異変”を早期にキャッチすることが可能になります。
“治療のために行く歯医者”から“健康を守るパートナー”へ
予防歯科は、いわば「未来の健康を買う時間」です。
- 歯のことで悩まない生活
- 食事も会話もストレスのない日常
- 美しく、年齢を感じさせない口元の維持
▶ それは、“何も問題がない今”から始めなければ実現できません。
「問題がないから行かない」は、もう古い考え方です
- 定期検診に行っていなかった数年のあいだに虫歯が進行していた
- 気づかないうちに歯周病で骨が溶けていた
- 被せ物の下で虫歯が進行していた
▶ これらはすべて、「症状がない」ことと「健康である」ことがイコールではないことを物語っています。
②予防メインテナンスとは?

──「歯石取り」だけではない、“一歩先の歯科ケア”
「歯のクリーニングは美容目的でしょ?」
「痛みも症状もないのに、定期的に歯科に通う必要があるの?」
「定期検診って、ただのチェックだけでしょ?」
──そう思っている方にこそ知っていただきたいのが、“予防メインテナンス”の本当の価値です。
東京審美歯科が提供する予防メインテナンスは、単なる歯の掃除でも、表面的なチェックでもありません。
虫歯・歯周病を“治療ではなく未然に防ぐ”ために、医療として設計された、科学的かつパーソナルな口腔管理プログラムです。
「クリーニング」と「メインテナンス」の違いは何か?
一般的に“クリーニング”と聞くと、
- 歯石を取って終わり
- 歯が白くなるエステ的な処置
- 見た目重視のケア
というイメージを持たれる方が多いかもしれません。
しかし、東京審美歯科の予防メインテナンスは、以下のような点で本質的に異なります:
| 項目 | 一般的なクリーニング | 予防メインテナンス(当院) |
|---|---|---|
| 目的 | 見た目や爽快感 | 病気の予防と口腔内の健康維持 |
| 実施者 | 歯科衛生士・場合により簡易対応 | 衛生士と歯科医師のチーム体制 |
| 内容 | 表面的な歯石除去 | 歯周ポケット計測、バイオフィルム管理、リスク評価、噛み合わせ診査まで |
| 頻度 | 不定期・気分次第 | 科学的根拠に基づく定期スケジュール(例:3ヶ月ごと) |
| ゴール | スッキリ感・白さ | 歯を残す・全身の健康にもつなげること |
▶ 一言でいえば、“見た目”ではなく“中身”を整えるのが予防メインテナンスなのです。
虫歯や歯周病は、「症状が出てからでは手遅れ」です
- 虫歯は、歯がしみる頃には神経近くまで進行している可能性が高い
- 歯周病は、痛みなく進行し、気づいたときには骨の吸収が始まっている
- 見えない場所(奥歯や歯の裏側)では変化に気づきにくい
▶ 定期的なメインテナンスでは、“症状が出る前”にリスクを発見し、早期対応が可能になります。
東京審美歯科のメインテナンスで行う具体的なこと
- 歯周ポケットの測定:炎症の有無、進行度を数値で管理
- バイオフィルムの破壊・除去:日常の歯磨きでは落としきれない細菌の膜を徹底的に除去
- 咬合チェック:噛み合わせのズレが原因の歯への過剰な負担を見極め
- 初期虫歯の観察と経過フォロー:削る前に進行を抑える
- ご自宅でのケアの質を高めるアドバイス:ブラッシング圧・磨き残し部位の指導
▶ 一人ひとりのお口に合わせた、“完全オーダーメイドの予防プラン”を組み立てています。
メインテナンスを続けることで得られる3つの未来
1.治療の回数と費用を最小限に抑えられる
→「削る」「詰める」「抜く」の繰り返しを防げます。
2.健康寿命が延び、生活の質(QOL)が向上する
→歯を多く残している人ほど、認知機能・運動機能の維持率が高いという研究結果も。
自分の歯で“噛める”“話せる”“笑える”未来を手に入れられる
→歯は単なる道具ではなく、人生の質を左右する“生きる力”です。
③歯を失う原因の90%以上は“予防できる病気”です

── 失ってから気づく前に、「守れる歯」はまだある
歯を失う原因は「加齢」ではありません。
「年を取ったから歯が抜ける」と思っていませんか?
実際には、歯を失う原因のほとんどは“虫歯”と“歯周病”──つまり予防可能な病気によるものです。
厚生労働省や日本歯科医師会の調査でも、歯を失った人のうち約9割が、虫歯や歯周病を原因としています。
それはつまり、“正しい知識”と“予防習慣”があれば、ほとんどの歯は守れた可能性があるという事実でもあります。
歯を失う二大原因:虫歯と歯周病の正体
- 虫歯(う蝕)
- 食事や間食で口の中が酸性に傾き、歯が溶ける(脱灰)
- 初期段階では痛みも違和感もなく進行
- 神経に達すると強い痛みが出て、神経を除去 → 抜歯のリスクが高まる
- 歯周病(歯槽膿漏)
- 歯と歯茎の隙間(歯周ポケット)に潜む細菌による慢性炎症
- 歯を支える骨がじわじわと吸収されていく
- 最終的には歯がグラグラになり、支えを失って自然脱落
▶ どちらも“静かに進む病気”のため、自覚症状が出たときには手遅れになりやすいのが特徴です。
痛みが出てからの治療では、歯の寿命はどんどん短くなる
歯の治療は、「一度治せばもう安心」というものではありません。
- 削れば削るほど歯は脆くなり、
- 詰め物や被せ物が取れれば再治療が必要になり、
- 神経を取れば、歯の内部が死んで割れやすくなり、
- 最終的には抜歯に至る
▶ これは「修復の連鎖」と呼ばれ、治療を繰り返すほどに歯は寿命を縮めてしまうという悪循環を生みます。
予防で守れるものは、「歯」だけではありません
- 食べる楽しみ(咀嚼機能)
- 人と話す喜び(発音・表情)
- 見た目の若々しさ(顔貌の輪郭)
- 生活の質(QOL)や認知機能の維持
▶ 歯を守ることは、身体全体の健康、そして人生そのものを守ることに直結します。
予防でできることは、こんなにあります
東京審美歯科では、以下のような予防メインテナンスを通じて、患者様の歯を守っています。
- 虫歯や歯周病の原因となるバイオフィルムの徹底除去
- フッ素塗布による再石灰化の促進
- 正しいブラッシング方法の確認とアドバイス
- 初期症状の段階での早期発見・経過観察
- 咬合(噛み合わせ)のバランス調整による歯への負担軽減
▶ 「治さないで済むようにする」という目的のもと、“削らない・抜かない・悪くならない”治療”を実現しています。
歯を失うリスクを下げるには、たった1つの習慣でいい
それは、“何もないうちから通うこと”です。
- 「痛くなってから」では遅い
- 「治療が終わったから、もう行かなくていい」は大きな誤解
- 「忙しい」を理由に歯科を後回しにするほど、将来の治療費や通院回数は増えていきます
▶ 病気にならない生活のために、予防という時間を“今”から取り入れてみてください。
④プロによるケアとセルフケアの“二人三脚”が成功のカギ

── 自宅だけでも、歯科だけでも不十分。“ふたりの力”で歯を守る
「ちゃんと歯みがきしているのに、また虫歯ができた」
「歯医者で治療したのに、なぜかすぐ再発する」
「毎日頑張っているつもりなのに、検診で注意される」
──このような経験はありませんか?
それは、あなたのセルフケアが間違っているわけではなく、“プロのケアと連携できていない”ことが原因かもしれません。
東京審美歯科では、予防歯科の本質は「二人三脚」にあると考えています。
つまり、ご自身の努力(セルフケア)と、歯科のプロフェッショナルケアの掛け算こそが、歯を守る唯一の方法です。
セルフケアの限界──どれだけ丁寧でも届かない場所がある
どんなに歯みがきを頑張っても、以下の場所には限界があります。
- 歯と歯のすき間(隣接面)
- 歯と歯茎の境目(歯周ポケット)
- 奥歯の裏側や凹凸のある歯の面
- 入れ歯・ブリッジ・被せ物の境界部
▶ これらには細菌の“巣”であるバイオフィルム(細菌膜)が形成されやすく、
ブラッシングだけでは除去できないため、専門の器具と技術を用いた“プロケア”が必要不可欠になります。
プロフェッショナルケアでできること
東京審美歯科では、専任の歯科衛生士があなたの担当となり、以下のような処置を行います:
- 超音波スケーラーや手用器具による歯石除去
- バイオフィルムの破壊・除去(PMTC)
- 歯周ポケットの清掃と出血部位の早期発見
- フッ素塗布や知覚過敏の抑制処置
- あなたの“癖”や“磨き残し傾向”に応じたブラッシング指導
▶ 歯茎の状態や歯並びに応じて、“あなたの口の特徴に合った予防プラン”を提案します。
では、自宅でのケアは不要かというと…まったく逆です
予防を成立させるもうひとつの柱が、毎日のセルフケアです。
歯科でのメインテナンスは、年に4回(3ヶ月ごと)程度が一般的。
つまり、残りの361日はご自宅でのケアにかかっていると言っても過言ではありません。
当院では、歯科衛生士が“できているつもり”になりやすいケアを丁寧に見直します。
- 歯ブラシの選び方と交換タイミング
- フロスや歯間ブラシの正しい使い方
- 力加減・持ち方・磨く順番の最適化
- 就寝前のケアの重要性、うがいの方法まで
▶ あなた専用の「自宅ケアレベルを高めるサポート」が、予防成功の要です。
セルフケア×プロケア=「治療がいらない未来」
予防は、治療のように「今すぐ効果を実感できるもの」ではないかもしれません。
でも、数年後──
- 「ここ何年も虫歯になっていない」
- 「歯茎の出血や腫れがなくなった」
- 「治療費がほとんどかからなくなった」
- 「自分の歯でしっかり噛めて、見た目にも自信が持てる」
▶ そう実感できる日が、きっと来ます。
⑤メインテナンスで実際に行うこと

── “見えないケア”が、“見える未来”を変えていく
「予防歯科って、何をするの?」
「クリーニングと何が違うの?」
「短時間で終わる掃除だけのイメージがある」
──そんなイメージをお持ちの方は、少なくありません。
ですが、東京審美歯科のメインテナンスは、単なる歯の掃除ではありません。
“患者様一人ひとりの未来の健康を守るための医療”として、根拠と目的を持った多角的なケアを行っています。
メインテナンスは「診断」+「予防処置」の組み合わせ
▶ これらの症状がある方でも、リラックスした状態で治療が受けられるようになります。
1|強い歯科恐怖症がある方
- 歯と歯茎のすき間(ポケット)の深さを測り、歯周病の進行度を数値化
- 前回のデータと比較して変化を見極め、早期発見へ
- 出血・排膿の有無もチェックし、炎症の兆候を把握
2|プラーク(歯垢)・歯石・バイオフィルムの除去
- 歯面・歯間・歯周ポケット内部の汚れを徹底的にクリーニング
- 専用機器を使用したPMTC(プロフェッショナルクリーニング)
- 細菌の温床となるバイオフィルムを破壊し、再付着を抑える
3|虫歯や補綴物のチェック
- 詰め物や被せ物の適合状態、隙間の有無を確認
- 二次虫歯(被せ物の下の虫歯)も視診・触診・X線で評価
- 噛み合わせやすり減り、力のかかる部位も診断対象
4|咬合(噛み合わせ)のチェック
- 噛み合わせのズレや偏りが、特定の歯に過剰な負担をかけていないか
- 食いしばりや歯ぎしりによる微細なダメージも早期に対応
5|フッ素塗布・知覚過敏ケア(必要に応じて)
- 再石灰化を促し、歯の耐酸性を強化
- 知覚過敏がある箇所には薬剤を塗布して症状緩和
▶ これらすべてを“あなたのためだけのプラン”として、毎回カスタマイズして行っています。
「数値化」と「見える化」で納得できる診療を
- 「前回よりポケットが0.5mm浅くなりましたね」
- 「この部分の磨き残しが前回より減っています」
- 「補綴物の適合が少し甘くなってきたので、再作製を視野に入れましょう」
▶ このように、状態の“変化”を言葉とデータで共有することが、患者様の安心と納得につながります。
メインテナンスで“治療のタイミング”をコントロールできる
- 「虫歯を削らずに済んだ」
- 「歯周病の初期で発見されて、薬だけで抑えられた」
- 「歯が割れる前にナイトガードで予防できた」
▶ こうした“未然に防げた症例”が、多数あります。
定期メインテナンスは、治療を早めるのではなく、不要にするための“主導権を取り戻す習慣”です。
あなた専用の予防ケアを“更新し続ける”価値
- 年齢やホルモンバランスの変化
- ライフスタイルや食習慣の変化
- 矯正・補綴・インプラントなどの治療履歴
▶ お口の環境は常に変化しているため、メインテナンスも“アップデートされ続けるべきもの”です。
東京審美歯科では、回を重ねるごとに“あなたのリスクに合った最新のケア”をご提案します。
⑥どれくらいの頻度で通うのが理想?

── あなたの“リスク”に合った予防ペースが、歯を守る力になる
「予防のために通うなら、どれくらいの頻度がベストですか?」
「3ヶ月に1回って多すぎる気がするけど、本当に必要?」
「治療が終わったら、もうしばらく行かなくていいのでは?」
──これは、多くの患者様から寄せられる質問です。
しかし、“誰もが同じ間隔で通うべき”ということはありません。
東京審美歯科では、患者様一人ひとりのリスクや口腔環境に応じて、最適な通院頻度をご提案しています。
大切なのは、「習慣としてのメインテナンス」ではなく、“根拠ある予防戦略”としてのメインテナンスなのです。
一般的な推奨頻度は“3ヶ月に1回”──でも、それはあくまで基準
- 3ヶ月というのは、歯周病菌が再び活性化し、
歯茎に炎症を起こし始めるまでの“臨床的根拠”に基づく期間です。 - これは「平均的なリスクを持つ方」にとって、
“細菌の再発を最小限に抑えられる”理想的なサイクルであることが証明されています。
▶ つまり、「定期的にきれいにする」ことが目的ではなく、
「病気を再発させない」ために設計された期間なのです。
では、あなたのベスト頻度は?──“個別リスク評価”がカギ
東京審美歯科では、初回・もしくはメインテナンスごとに以下の要素をもとに“メインテナンス間隔の最適化”を行っています。
- 評価項目例:
- 歯周病の進行状況・治療歴
- 虫歯の発生履歴・再発リスク
- 歯磨き習慣・プラークコントロールの達成度
- 噛み合わせ・歯ぎしりなどの力の問題
- 全身疾患(糖尿病、骨粗しょう症など)の有無
- タバコ・食習慣・生活習慣などの外的要因
▶ これにより、“1ヶ月・3ヶ月・6ヶ月”など人によって異なる予防ペースを個別に設定します。
通いすぎず、少なすぎず──最適な予防のタイミングとは?
- ▷ 毎月通う必要がある方(ハイリスク):
- 歯周病が重度で、治療後も再発リスクが高い
- インプラントやブリッジなどの補綴物を複数装着している
- 自分では磨けない場所が多い
- ▷ 3ヶ月に1回のペースが理想の方(中リスク):
- 治療後の安定期
- 歯磨きはできているが、磨き残しが一部見られる
- 糖尿病など、歯周病の悪化因子を抱えている
- ▷ 6ヶ月に1回でも十分な方(低リスク):
- 虫歯・歯周病の既往歴がなく、歯磨きも良好
- メインテナンスを長年継続している
- 自覚症状も臨床所見も安定している
▶ “通いすぎている方”には間隔を広げるご提案もいたします。
予防も“必要なだけ、的確に”が鉄則です。
なぜ頻度を守ることが重要なのか?
- 炎症や虫歯は、“短期間で再発することがある”ため
- 一度取り戻した健康も、放置すれば元に戻ってしまうため
- 痛みが出てからでは、治療が大きくなるリスクが高まるため
▶ だからこそ、“今、問題がない状態”をどう守り続けるかが大切です。
メインテナンスは、「歯科通院を卒業するための時間」
治療が終わった方にとって、
メインテナンスは「まだ通うの?」という感覚があるかもしれません。
でも、本当の意味で“歯科に通わなくていい未来”を手に入れるには、
この予防の時間こそが最も重要です。
⑦将来の“医療費”と“歯の本数”に直結する予防の価値

── 歯を守ることは、未来の人生を守ること
「予防にお金をかけるのはもったいない」
「痛くなってから治せばいい」
「治療が終わったから、もう歯医者に行かなくていい」
──そう思っている方にこそ知っていただきたいのが、“予防メインテナンスは、将来の医療費と歯の本数に直結する”という事実です。
今、何も起きていないからこそ、「通う意味がない」のではなく、
“今、何も起きていない状態を維持するための行動”が、予防の本質です。
治療中心の歯科通院は、“長期的には高くつく”
たとえば、虫歯1本を治療する場合──
- 小さな虫歯であれば1~2回の処置で済みますが、
- 進行して神経まで達すれば、根管治療+被せ物で5~6回の通院+高額な補綴費用が発生
- さらに再治療や破折のリスクが上がり、最終的に抜歯→インプラントや入れ歯へと進行
▶ 実際、「痛くなってから」の治療は、費用も回数も“雪だるま式”に増えていきます。
一方で、定期的なメインテナンスの費用は…
- 3ヶ月に1回の予防ケア
- 1回あたり5,000円前後(保険診療/自費問わず)
▶ 年間2万円前後の“予防投資”で、
数十万円規模の治療費を将来的に回避できる可能性が高まります。
しかも、虫歯だけでなく、歯周病や噛み合わせの悪化、詰め物の劣化など、“治療につながる小さな異変”をすべて早期に発見できるのです。
歯の本数が“人生の質(QOL)”に直結する時代
厚生労働省の「歯科疾患実態調査」では、
「80歳で自分の歯が20本以上残っている人」は、
- 医療費が少なく
- 介護認定率が低く
- 生活満足度も高い
というデータが報告されています。
これは通称「8020運動」と呼ばれ、日本中の歯科が目指す目標でもあります。
- ▷ 歯が少ないとどうなる?
- 噛む力が落ちて、食べられるものが制限される
- 顎の骨が痩せて、顔の輪郭が老けやすくなる
- 会話や発音に支障が出る
- 消化機能が低下し、全身疾患を引き起こしやすくなる
▶ つまり、「歯の本数」は“若さ” “健康” “食” “会話” “表情”を保つ土台なのです。
予防=健康寿命を延ばす“投資”
東京審美歯科に通う患者様の中には、
- 「10年以上虫歯も歯周病もゼロ」
- 「治療費がほとんどかからなくなった」
- 「人間ドックで“口腔内年齢が若い”と評価された」
▶ そんな方が数多くいらっしゃいます。
この違いを生んでいるのは、“痛くなってから通う”のではなく、
“何もないときに通う”という予防意識の有無です。
予防は「今この瞬間」が一番始めやすい
- 何も起きていない
- 治療が終わって落ち着いている
- 痛みも不安もない
▶ 実はそれが、“予防を始める最良のタイミング”です。
未来の医療費と生活の質を左右する大切な選択を、今この瞬間にしてみませんか?
⑧東京審美歯科のクリーニングの特徴

歯にやさしく、汚れを根本から落とす新しい予防ケア ―パウダークリーニング
毎日の歯磨きでは落としきれない、歯の表面や歯と歯の間に付着したバイオフィルム(細菌のかたまり)や着色汚れ。
当院の予防メンテナンスでは、従来の「削る」クリーニングとは異なる、歯や歯ぐきへの負担を最小限に抑えた「パウダークリーニング」を取り入れています。
パウダークリーニングは、歯を傷つけにくく、心地よく受けていただける予防処置として、審美性と健康の両立を重視する方に選ばれています。
パウダークリーニングとは

パウダークリーニングは、微細な専用パウダーと水流を使用し、歯の表面に付着した汚れやバイオフィルムをやさしく除去するクリーニング方法です。
金属製の器具で歯を強くこすったり、削ったりすることが少ないため、歯の表面や被せ物・詰め物へのダメージを抑えながら清掃を行えます。
歯の健康を守るだけでなく、本来の自然な白さやツルツルとした質感を取り戻すことを目的とした、予防に特化したクリーニングです。
従来のクリーニングとの違い
歯や詰め物を傷つけにくい
超音波器具や研磨剤によるクリーニングでは、目に見えない細かな傷が歯の表面に残ることがあります。
パウダークリーニングは、歯に直接触れる刺激が少なく、エナメル質やセラミックなどの修復物にもやさしい処置です。
痛みや不快感が少ない
「キーン」という音や振動が苦手な方、歯ぐきが敏感な方でも、比較的リラックスして受けていただけます。
着色汚れをすっきり除去
コーヒー・紅茶・ワイン・タバコなどによるステイン(着色汚れ)も、歯の表面を傷つけにくい方法で効率よく除去します。
このような方におすすめです
-
- 歯をできるだけ傷つけずにクリーニングを受けたい方
- コーヒーや紅茶、ワインなどによる着色が気になる方
- 定期的なメンテナンスを、心地よく続けたい方
- セラミックや詰め物・被せ物が入っている方
- ホワイトニング前に歯の汚れをしっかり落としたい方
予防メンテナンスにおける当院の考え方
パウダークリーニングは、むし歯や歯周病を防ぐための「スタートライン」です。
大切なのは、単に汚れを落とすことではなく、お口の状態を正しく把握し、将来のトラブルを防ぐこと。
当院では、お口の状態やリスクに応じて、
-
- パウダークリーニング
- 歯石除去(必要な場合)
- セルフケアのアドバイス
を組み合わせ、一人ひとりに合わせた予防メンテナンスをご提案しています。
定期的なメンテナンスで、歯の未来を守る
バイオフィルムは、毎日の歯磨きだけで完全に除去することは困難です。 定期的にプロによるクリーニングを受けることで、むし歯・歯周病のリスクを抑え、歯を長く健康に保つことにつながります。
歯の健康と美しさを両立させたい方は、ぜひ一度ご相談ください。
パウダークリーニングの流れ
1. 口腔内の診査・診断

まずは洗口液でお口をゆすいでいただいた後、歯や歯ぐきなどの歯周組織の状態を丁寧に確認します。
インプラント治療を受けている方の場合は、インプラント本体だけでなく、その周囲の歯ぐきや骨の状態まで含めて診査を行い、現在のお口の健康状態を把握します。
2. バイオフィルムの染め出し

普段は目で確認することができないバイオフィルム(細菌のかたまり)を、専用の染め出し液を使って可視化します。
汚れが付着している部位が一目で分かるようになるため、「どの部分に、どの程度のケアが必要なのか」を患者様ご自身にもご確認いただけます。
3. 患者様への情報提供・ご説明

染め出しの結果をもとに、現在のお口の状態やリスクについて分かりやすくご説明します。
あわせて、予防の重要性や今後のメインテナンスの考え方、日常の歯磨き方法などについてもお伝えし、患者様一人ひとりに合った予防ケアの方法をご提案します。
4. エアフロー

歯ぐきより上の歯面や、深さ4mm以下の歯周ポケットに付着したバイオフィルム・軽度の歯石・着色汚れ(ステイン)を、エアフローを用いてやさしく除去します。
歯や歯ぐきへの負担を抑えながら、効率的にクリーニングを行います。
5. ペリオフロー

深さ4mm以上9mm以下の歯周ポケット内に付着したバイオフィルムを、専用の器具を用いて清掃します。
歯周ポケット内部はセルフケアが難しい部位のため、専門的なケアによって歯周病のリスク低減を目指します。
6. 残った歯石の除去

エアフローやペリオフローで取り切れなかった歯石がある場合は、必要に応じて専用の器具を使用し、丁寧に除去します。
お口の状態に合わせて、無理のない方法で処置を行います。
7. 最終チェック

バイオフィルムや歯石の取り残しがないかを最終確認します。
また、歯科医師がむし歯の有無などをしっかりと診断し、問題がなければフッ素を塗布して歯の表面を保護します。
8. 定期検診のご案内
パウダークリーニングは定期的に継続することで、より高い予防効果が期待できます。
お口の健康を長く維持するために、次回のメインテナンス時期についてご案内いたします。一緒に、健康な歯を守っていきましょう。
▶注意事項
-
- 本メンテナンスは、これまでの予防処置と同様に保険診療内で行います。
- 歯石の付着状況によっては、超音波機器や手用器具を使用する場合があります。
- 呼吸器系の疾患をお持ちの方や、お口の状態によっては施術が適さない場合があります。あらかじめご了承ください。
⑨「何も起きていない今」が、最高の通院タイミングです

── 異常がないからこそ行く。それが“本当の予防”の第一歩
「痛くないし、不便もないから歯医者に行かなくていい」
「何も症状がないのに、通う意味はあるの?」
「忙しいし、今は大丈夫そうだから後回しでいいかも…」
──そんな風に思っていませんか?
でも実は、「今、何も起きていない」この瞬間こそが、
あなたの歯を守る“最も価値ある通院タイミング”なのです。
症状が出たときには、もう“治療が必要”な状態
虫歯や歯周病は、どちらも“静かに進行する病気”です。
- 虫歯は神経に近づくまでほとんど痛みがない
- 歯周病は出血や腫れが出る頃には、骨が溶け始めている
- 被せ物や詰め物の下の再発は、自覚しにくい
- 噛み合わせのズレやすり減りも、気づかないうちに進行する
▶ 「何かおかしい」と気づいたときには、すでに歯を削る・神経を取る・抜くという処置が必要になっていることがほとんどです。
予防メインテナンスは、“今の健康”を維持する医療
東京審美歯科の予防メインテナンスは、ただ歯をきれいにするための通院ではありません。
- 見えない場所の虫歯・歯周病の早期発見
- 自分では落とせないバイオフィルムや歯石の除去
- 噛み合わせ・力のバランスの調整
- 被せ物・詰め物の摩耗・浮き・再発リスクの管理
- 歯茎の炎症・腫れ・出血傾向の予兆をチェック
▶ これらを通じて、「異常がない今」を「異常のない未来へ」つなげていくのが、予防の本質です。
「何も起きていない」のではなく、「気づいていないだけ」かもしれない
予防でご来院された方の中には、以下のような“隠れリスク”が見つかることも少なくありません:
- 虫歯になりかけている脱灰部分
- 出血はないが、深い歯周ポケットが形成されている箇所
- 被せ物の下で二次虫歯が進行していたケース
- 知らず知らずの食いしばりで歯が欠けていたケース
▶ 「痛みがない」=「健康」ではないということを、検査とデータで“見える化”して確認する機会が、予防通院にはあるのです。
「健康なうちに行く」ことが、未来の自由を守る選択に
- 60代から慌てて治療するより、40代から予防しておくほうが、歯を残せる確率は圧倒的に高くなります。
- 将来、旅行・食事・会話・表情など“日常のあたりまえ”を保てるのは、今の行動次第です。
- 予防にかかる時間とコストは、「治療」よりもずっと少なく済みます。
▶ 健康な人ほど、予防の重要性を知って通い続けている――それが“人生を守る歯科医療”のあり方です。
予防通院に“早すぎる”ということはありません
- 治療が終わったばかりの方
- 何年も歯科に行っていなかったけれど不調もない方
- 親知らずや噛み合わせに不安があるけど放置している方
▶ どんな状態でも、“今、健康でいたい気持ち”がある方なら、予防通院を始めるタイミングは「今日」がベストです。
“何も起きていない今”は、
“何かが起こる前に動ける、唯一のタイミング”です。
その一歩を、東京審美歯科と一緒に踏み出してみませんか?
