症例 Case

東京審美歯科 > 症例 > ジルコニアセラミックによる審美治療
症例

ジルコニアセラミックによる審美治療

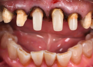
治療前

治療後

治療概要

治療名

ジルコニアセラミック

患者さん

60代 女性

執刀医

Dr.高田

治療期間

2ヶ月

費用(税込)

¥1,200,000(税込)

治療に対するリスク

・重度の歯ぎしりをする方はセラミックが欠けるリスクがあるため、夜間マウスピースが必須です。
・適切な歯磨きが出来ていない場合に歯茎が腫れる可能性があります。定期的なメインテナンスをお勧めします。

Contact

東京審美歯科で審美セラミック治療
各種お問い合わせは下記よりお願いいたします。

ホームページの運営と情報発信について

東京都恵比寿駅の歯医者・歯科の東京審美歯科では、東京都恵比寿で審美歯科治療を提供する医院として各治療分野に精通した歯科医師が在籍しており、専門的かつ信頼性のある医療情報の発信を大切にしています。当院のホームページに掲載するすべてのコンテンツは、医師による監修のもとで作成されており、患者様が安心してご来院いただけるよう、正確で分かりやすい情報の提供に努めております。

また、当院は医療法に基づく「医療広告ガイドライン」を厳格に遵守しております。虚偽や誇大表現を排除し、実際の診療内容や実績に基づいた誠実な情報発信を行うことで、患者様との信頼関係の構築を目指しています。
私たちは、透明性と倫理性を重視したホームページ運営を通じて、皆様にとって有益で信頼できる医療情報をお届けしてまいります。